티스토리 뷰
최근 12년 만에 결핵 환자가 증가하고 있다는 질병 관리청 소식이 있습니다. 특히 면역성이 약한 65세 어르신 연령대에서 증가하고 있는데요. 정부와 질병관리청에서 해마다 결핵 검진을 일정 연령 이상되면 무료로 검진을 실시하고 있어서 조금이라도 의시 되고 검진을 받이 않으셨다면 무료 검진을 받는 것을 추천드립니다. 그래서 무료로 결핵 검진을 받을 수 있는 대상과 방법에 대해 정보를 몇 자 적겠습니다.

무료 결핵 검진 대상
정부에서는 매년 연 1회 무료 걸핵 검진을 어른신들에게 제공하고 있습니다. 무료 결핵 검진 대상은 65세 어르신이면 누구나 검사받을 수 있으며 2023년 현재 무료 결핵검진을 받지 않는 분이라시면 무료로 검진을 받는 것을 권해드립니다.
더욱이, 올해는 결핵환자가 증가 추세를 보이고 있으니 아직도 무료 검진을 받지 않으셨으면 서둘러서 검진받으시길 ㄱ권해드립니다.
무료 결핵 검진 방법
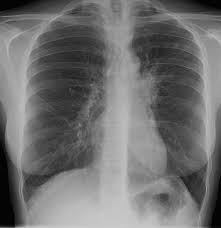
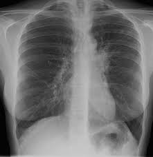
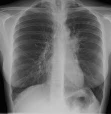
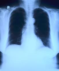
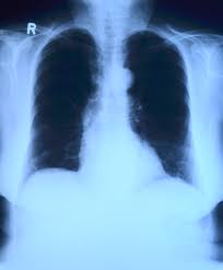
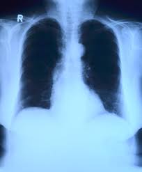
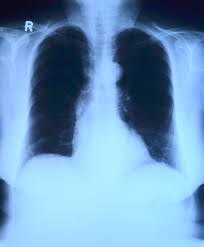
자기를 증명 할 수 있는 신분증 즉 주민등록증이나 운전면허증을 가지고 거주지 관할 보건소 방문해서 검사받을 수 있습니다. 검진 방법은 보건소 방문하셔서 흉부X선 검사를 받은 후 결핵 의심이 해당 된다고 판단되면 판단되면 확진 검사를 하게 됩니다. 거주지 관할 보건소 위치를 알려면 '거주지' 관할 보건소 확인 페이지'를 통해서 확인이 가능합니다.
결핵 질병 증상 및 원인
기침이며, 발열, 식욕부진과 체중감소, 피로 등이 나타날 수 있습니다. 병이 진행되면 객담(가래)이나 혈담(피 섞인 가래)이 동반되기도 하며, 호흡곤란이나 흉통이 오기도 합니다..이런 증상의 원인은 이런 형태에서 배출된 균이 공기를 통해서 다른 사람의 페로 감영 돼서 일어나는 병입니다. 다시 말해서, 공기를 통해서 전파되는 호흡기 감염병입니다. 만약, 2주 이상 기침이 계속한다면 결핵을 의심을 해보는 것이 좋습니다.



결핵 예방 방법 예방 방법
✅가장 효과적인 방법 : 생후 4주 이내에 B.C.G 접종 (미취학 아동중 미접종자 : 즉시)
✅ 결핵을 앓고 있는 환자가족은 건강검진을 실시토록 한다.
✅ 결핵환자는 기침할 때 입을 가리고 하며, 사람의 정면에 하지 않도록 하며 침을 함부로 뱉지 않는다.
✅ 2주 이상 기침을 하는 사람은 반드시 건강진단을 받는다. (X-ray 관찰)
✅기침이나 재채기 후 흐르는 물에 비누로 30초 이상 손을 씻는다
✅ 면역력 향상을 위해서 매일 꾸준히 운동한다
✅ 균형 있는 영향 섭취한다
✅ 자외선에 약한 결핵균을 차단하기 위해 30분 산책한다
✅ 수시로 실내 환기한다
✅ 체내 수분유지와 면력을 높이기 위해 물을 자주 마신다








